小滝橋動物病院 新目白通り第2高度医療センター お電話0359585512
ここでは特徴的な症例について、一部をご紹介いたします。
※手術の写真を掲載しておりますので、苦手な方はご注意ください。
小滝橋動物病院グループ全体の外科症例件数については、>こちらをご参照ください。

前十字靭帯損傷・断裂の犬の1例(整形外科、膝、TPLO、手術)

前十字靭帯の損傷は犬において最も一般的な整形外科疾患の一つです。

前十字靭帯は膝関節内にある靭帯で、
①脛骨の内旋制動
②脛骨の前方変位制動
③脛骨の過伸展制動
といった、膝関節の過度な動きを抑制する働きがあります。



前十字靭帯の損傷が起きると膝関節内の不安定性が生じ、体重をかけると大腿骨と脛骨がずれ膝が抜けたような感覚になってしまいうまく体重をかけられません。その結果として跛行や挙上が生じます。
正常な足。大腿骨と脛骨の機能軸が直線状に並んでいる。
前十字靭帯を損傷した足。大腿骨と脛骨がずれてしまい体重がかけられない。
手術はTPLO法(Tibial Plateau Leveling Osteotomy:脛骨高平部水平化骨切術)を実施いたしました。

TPLO法は膝の中にある傾斜を水平にして大腿骨と脛骨が滑ってずれる力を抑制し、結果的にうまく体重をかけられるようになる方法です。

入念な術前計画、特殊な器具や手技が必要になる大がかりな手術ではありますが、術後の足の機能の回復が良いとされています。
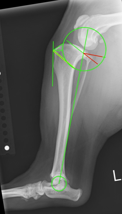
手術計画のための計測
術中の様子① 断裂した前十字靭帯と半月板の確認、除去
術中の様子② 骨切り
術中の様子③ プレーティング
手術前後のX線写真を比較すると、術後は体重のかかる機能軸(緑線)に対して膝の中の傾斜(水色線)が垂直に近くなり、大腿骨と脛骨の連続性が回復しているのが分かります。
術後の経過は良好ではあり、術後1週間で退院、2週間で抜糸を行いました。
術後の検診でも順調に患肢を使って歩けるよう姿を見せてくれています。





執筆担当:獣医師/整形外科 多喜
小滝橋動物病院 新目白通り第2高度医療センタートップページ
東京都豊島区高田3-20-11
TEL 03-5958-5512 
Email: otakibashigroup@yahoo.co.jp