小滝橋動物病院 新目白通り第2高度医療センター お電話0359585512
ここでは特徴的な症例について、一部をご紹介いたします。
※手術の写真を掲載しておりますので、苦手な方はご注意ください。
小滝橋動物病院グループ全体の外科症例件数については、>こちらをご参照ください。

成長板早期閉鎖

成長板早期閉鎖とは?

前回、成長板は通常の骨組織と比較すると脆弱な組織であるため、外傷などによって成長板骨折を生じてしまうお話をさせていただきました。
その脆弱な組織に対して傷害が加わってしまうと、成長板の細胞分裂が休止し、早い段階で成長板が骨へと分化(早期閉鎖)してしまいます。成長板骨折 Salter-Haris Type5のような圧迫骨折が代表的な例の一つです。その他にも栄養的要因や遺伝的要因によって成長板の細胞分裂が休止し、早期閉鎖するとの報告もあるようです。

成長板が早期閉鎖することで骨の長さに差異が生じ、様々な影響を及ぼします。
例えば、前腕は橈骨と尺骨で構成されており、この2つの骨が同調して伸びていきますが、どちらかの骨の成長板が早期閉鎖してしまうと、一方の骨のみが成長していくため、前腕が曲がり(湾曲)、異常歩行が生じてしまいます。
さらに、橈尺骨の成長の不均衡は前腕の湾曲だけでなく、尺骨鈎状突起分離症(Fragmented Medial Coronoid Process; FMCP)や肘突起癒合不全(Ununited Anconeal Process; UAP)、肘関節の亜脱臼や関節炎など、関節の整合性にも問題が生じてしまいます。
成長板早期閉鎖の治療方法は主に外科的処置となり、早期閉鎖した方の骨を骨切りすることで骨の湾曲を予防し、関節の整合性を維持することができます。
前肢の成長板早期閉鎖症例の外貌 右前肢の湾曲が認められます
FMCPとUAPが生じる模式図

成長板早期閉鎖の症例

チワワ 去勢雄 8ヵ月齢
静止時、および歩行時において右前肢の挙上を主訴に来院されました。
単純X線画像検査において、右側の尺骨遠位成長板領域の不透過性亢進、橈骨の頭側湾曲、鈎状突起と上腕骨顆の間隙が広がっている所見が認められたため、尺骨遠位成長板早期閉鎖が疑われました。
術前計画としてCT検査を実施し、肘関節の整合性を確認した後に、橈骨の湾曲防止と肘関節の不整合を矯正するために尺骨の骨切術を実施しました。
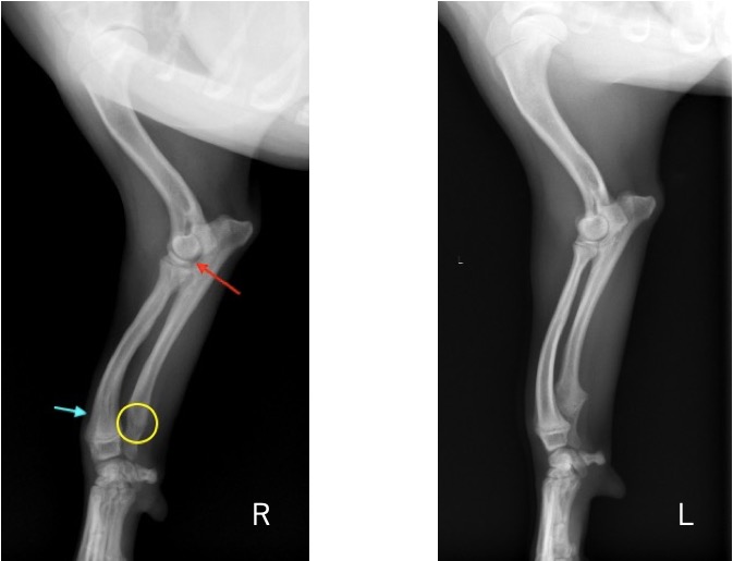
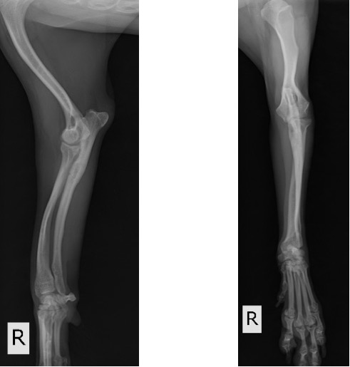
前腕のLateral像 (黄丸;尺骨遠位成長板の不透過性亢進 青矢印:橈骨の湾曲 赤矢印:鈎状突起と上腕骨顆の間隙)
前腕のAP像 (黄丸:尺骨遠位成長板の不透過性亢進 青矢印:橈骨の湾曲)
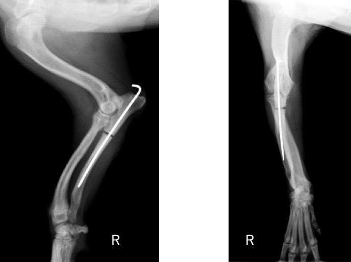
術後のLateral像とAP像 (骨切り後に尺骨のアラインメントを合わせるために髄内ピンとして1.2mm K-wireを刺入しました)

成長板早期閉鎖の症例2

Mix (チワワ×プードル) 去勢雄 9ヵ月齢
1ヵ月前から右前肢を挙上させたり、歩行時における負重の低下を主訴に来院されました。
院内においても右前肢の挙上が認められ、単純X線画像検査を実施したところ、右側の橈骨遠位成長板領域の不透過性亢進、肘突起と上腕骨顆の間隙が広がっている所見が認められたため、橈骨遠位成長板早期閉鎖が疑われました。
この症例では、反対側と比較して橈骨の湾曲が顕著でなかったため、肘関節の整合性を優先し、尺骨の骨切りを実施しました。
この症例は術後1ヵ月検診では軽度のヘッドボブが認められたものの、患肢の負重が認められるようになりました。
前腕のLateral像とAP像 (黄丸と黄矢印:成長板の不透過性亢進 赤矢印:上腕骨顆と肘突起の間隙)
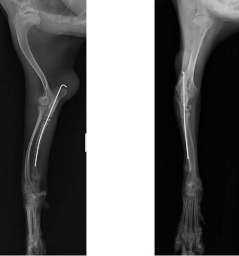
術後のLateral像とAP像 (前例と同じく髄内ピンとしてK-wireを刺入したのちに切り取った骨片を破砕し、骨切部分へ再移植しました。)
術後1ヵ月 (移植した骨が少しずつ癒合し始めてきましたが、K-wireの先端が軟部組織を刺激してしまっているためか、肘頭の腫脹が認められました。)
術後2ヵ月 (K-wireの先端が軟部組織を刺激し、患肢の着地を阻害していると考えられたため、抜ピンを実施しました。)
術後3ヵ月 (移植骨の癒合良好で、K-wireの刺入孔も不明瞭化してきました。)
術後6ヵ月 (骨切り線が完全に消失しました。)
今回は成長板骨折に引き続き、成長板早期閉鎖についてお話しさせていただきました。
成長板早期閉鎖も成長板骨折と同様に若齢で生じる疾患であるため、少しでも気になる症状があれば気軽にご相談ください。

執筆担当:獣医師 初山 太基
小滝橋動物病院 新目白通り第2高度医療センタートップページ
東京都豊島区高田3-20-11
TEL 03-5958-5512 
Email: otakibashigroup@yahoo.co.jp