小滝橋動物病院 新目白通り第2高度医療センター お電話0359585512
ここでは特徴的な症例について、一部をご紹介いたします。
※手術の写真を掲載しておりますので、苦手な方はご注意ください。
小滝橋動物病院グループ全体の外科症例件数については、>こちらをご参照ください。

脛骨骨折

脛骨には成長期の成長板骨折が多く生じます。特に、大腿四頭筋が付着する膝蓋靭帯の付着部である、脛骨粗面が剥離骨折することが多いです。 骨幹部の方では捻じれの力が加わるため螺旋状の骨折が多くなります。特に遠位部分に関しては軟部組織(筋肉や脂肪など)が少ないため、開放骨折(複雑骨折)になってしまうことも少なくありません。
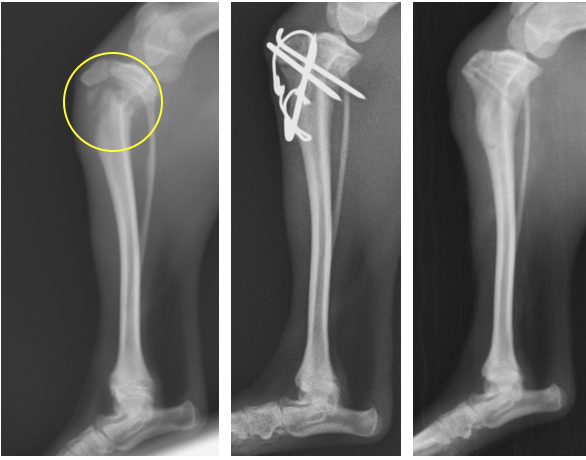
脛骨粗面から、成長版の一帯が骨折してしまっています。脛骨近位は自然と尾側へ偏位してしまうため、ピンとテンションバンドワイヤーによってそれを固定しています。
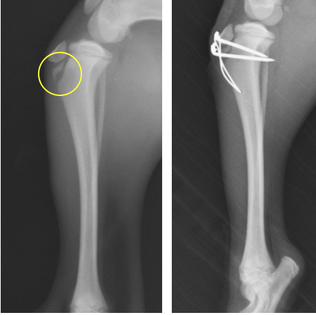
脛骨粗面のみの骨折です。ここも膝蓋靭帯が近位に引っ張る力が常にかかるため、ピンとテンションバンドワイヤーによって固定しています。
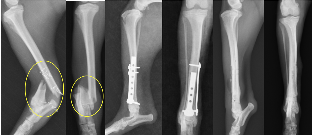
脛骨遠位のら線状骨折です。2枚のプレートで固定しています。この部位は軟部組織が少ないため、開放骨折になったり、治癒が遅れることがあるため、注意が必要です。
脛骨骨幹部骨折です。この位置は曲げ応力が強くプレート1枚では曲がってしまう可能性があるため髄内ピンをあわせています。この方法をプレートロッド法といいます。
上の症例の正面のレントゲンです。プレートロッド法は脛骨や大腿骨、上腕骨で適用となります。
骨折でお悩みの方はメールや電話などでご相談ください。 執筆担当:獣医師 磯野
小滝橋動物病院 新目白通り第2高度医療センタートップページ
東京都豊島区高田3-20-11
TEL 03-5958-5512 
Email: otakibashigroup@yahoo.co.jp
大腿骨近位の斜骨折です。斜骨折をラグスクリューである程度固定し、プレートによって支持する(守る)方法を使っています。これを中和プレートと呼ぶこともあります。