小滝橋動物病院 新目白通り第2高度医療センター お電話0359585512
ここでは特徴的な症例について、一部をご紹介いたします。
※手術の写真を掲載しておりますので、苦手な方はご注意ください。
小滝橋動物病院グループ全体の外科症例件数については、>こちらをご参照ください。

橈尺骨骨折(橈骨・尺骨骨折)

橈尺骨骨折(橈骨・尺骨骨折)
●骨折
骨折は部位や年齢により治療が異なりますが、最も強固かつ確実な固定はプレート・スクリュー・ピンによる内固定です。プレートやスクリューには様々な種類、サイズや形状があります。症例に合わせて、綿密な術前計画を立て手術を行う必要があります。近年ではロッキングシステムという新しいプレートスクリューを用いることも増えてきています。


橈尺骨骨折(橈骨尺骨骨折)
近年、小型犬が増加しているのに比例して橈尺骨骨折が増加しています。橈尺骨骨折にはプレートを2枚入れる方法を用います。2枚入れることで強度を増すことができプレートの破綻を防止できます。また、1枚ずつプレート抜去が可能であるため、ある程度骨が固まってきたら1枚抜去し、さらに骨化を促進し、もう一枚抜去するという方法が可能です。そうすることで癒合不全(骨化が遅れること)を防止し、プレート抜去後の再骨折のリスクを減らすことができます。
当院ではピンやロッキングプレートなどは抜かない場合もありますが、基本的にはプレートスクリューはなるべく抜去してきちんと骨癒合していることを確認して終了としています。
イタリアングレーハウンドの橈尺骨骨折です。2.0mmスクリューを使用しています。
トイプードル9歳の橈尺骨骨折です。1.5mmスクリューを使用しています。
トイプードル2歳の橈尺骨骨折です。1.5mmスクリューを使用しています。 上の3症例ともにやや中央寄りの先端部の橈尺骨の横骨折(遠位骨幹部橈尺骨横骨折)です。直線のプレートを使用しています。
ポメラニアン半年齢の橈骨尺骨骨折です。1.3mmの超小型スクリューを使用しました。 上の4症例はやや中央寄りの先端部の橈尺骨の横骨折(遠位骨幹部橈尺骨横骨折)です。直線のプレートを使用しています。
チワワの橈尺骨骨折です。1.5mmスクリューを使用しています。
体重約1kgの2歳のティーカッププードルで、超小型の1.1mm径スクリューを使用しました。 2症例ともに橈尺骨遠位端骨折です。骨折端が短すぎて直線のプレートが入らない(スクリューを3本入れる必要があります)ため、正面にT字型のプレートを使用しています。
前足を両方とも同時に骨折してしまったポメラニアン。まだ4ヶ月で体重も2kgに満たない子犬でした。1.3mmと1.1mmのプレートスクリューを用いて整復しています。
両側同時に骨折してしまったトイプードル。かなり遠位ぎりぎりで折れているのでT字プレートを使用しています。
次の症例は6ヶ月例のポメラニアン。抱っこしている時に落としてしまったとのことで来院、橈尺骨が骨折していました。
橈骨が折れている術中写真になります。横骨折という、ほぼ直線状に折れているタイプです。
正面にT字プレート、横にストレートプレートを入れています。
術後のレントゲンです。アライメントもよく、術後から歩行を開始してくれています。
次の症例は以前の骨折を他院にてプレート固定していたそうですが、ある時からまた足を上げるとのことで来院しました。矢印の部分で折れてしまっています。
入っていたプレートを抜去したところです。入っていたところの遠位(左写真の左側)に骨折線があります。プレートのスクリューホールに骨が入り込むのでボコボコとした形になります。
今回の手術後の写真です。非常に長いプレートが入っているのは、手術して再骨折があった場合にはもとのプレートよりも長いプレートを入れる必要があるからです。また、骨が痩せて細くなっているケースが多いので術後も注意が必要です。
術後レントゲンです。橈骨全域に渡ってプレートが入っています。近位は少し外側に曲がっているため、最初からプレートを曲げています。術後2日目には患肢を使っての歩行が可能でした。また、キャスト(ギプス)も使わないので、ストレスなく生活が可能です。術後1ヶ月半ほどで正面のプレートを抜去しています。
この子もプレートが破綻して2回めの手術をしているため、プレートが長くなっています。
術後経過は順調で2ヶ月ほどで正面のプレートを抜去しました。
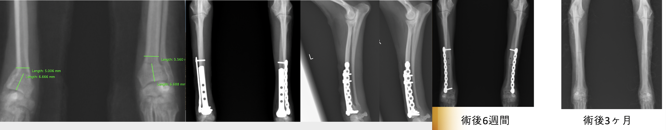
次の症例は11ヶ月のトイプードルで、スリングから飛び降りた後から足をケンケンするということで来院しました。左橈尺骨遠位斜骨折で、2日後に手術を実施しました。遠位骨折の場合尺骨(細い方の骨)には治療を行いませんが、骨折線も綺麗にあっているのがわかります。術後は次の日から足を着くことが可能で、1週間後に帰る時には通常に近い歩様で帰っていきました。その後1週間で抜糸となりますが、そこまでは散歩を5〜10分ほどにしてもらいます。ジャンプや激しい運動はしないでもらっています。その後2週間は散歩を15〜20分、その後1ヶ月は25〜30分で、その頃にプレートを1枚抜去します。
正面から見たレントゲン画像です。
横から見たレントゲン画像です。
術後のレントゲン画像です。足もまっすぐになり、尺骨という骨も綺麗にあっているのがわかります。
骨折でお悩みの方はメールや電話などでご相談ください。 執筆担当:獣医師 磯野
小滝橋動物病院 新目白通り第2高度医療センタートップページ
東京都豊島区高田3-20-11
TEL 03-5958-5512 
Email: otakibashigroup@yahoo.co.jp