小滝橋動物病院 新目白通り第2高度医療センター お電話0359585512
ここでは特徴的な症例について、一部をご紹介いたします。
※手術の写真を掲載しておりますので、苦手な方はご注意ください。
小滝橋動物病院グループ全体の外科症例件数については、>こちらをご参照ください。

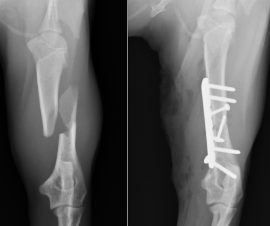
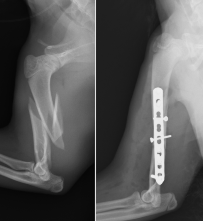
上腕骨粉砕骨折した猫

犬猫では上腕骨の骨折は比較的稀な疾患です。猫の上腕骨は捻りの力が強く発生するのと外固定が困難であるため第Ⅰ選択の治療がプレートスクリュー固定となります。固定強度が弱い場合には髄内ピンをプラスすることもあります。
今回の症例は5ヶ月の上腕骨粉砕骨折です。粉砕している場合骨片をうまく合わせることができれば固定強度が強くなります。粉砕している骨が小さすぎたり、合わせることが困難な場合には固定強度が著しく低下するため髄内ピンなどを追加します。
この症例の場合粉砕骨片をラグスクリュー法という方法である程度合わせることができたのですが、一部欠損が合ったためロッキングプレートという強度の高いプレートを使用しました。
術後の経過は順調で癒合した段階でプレート抜去を行い、問題なく経過しています。
執筆担当:獣医師 磯野
新目白通り第2高度医療センタートップページ