小滝橋動物病院 新目白通り第2高度医療センター お電話0359585512
ここでは特徴的な症例について、一部をご紹介いたします。
※手術の写真を掲載しておりますので、苦手な方はご注意ください。
小滝橋動物病院グループ全体の外科症例件数については、>こちらをご参照ください。

股関節脱臼・レッグペルテス(大腿骨頭壊死症)

股関節は、大腿骨の骨頭と呼ばれる球状の骨が寛骨臼と呼ばれる骨盤の臼状になった骨にはまって関節を形作っています。犬や猫の股関節脱臼は主に外傷性で発生するタイプと、先天的に股関節形成不全があり脱臼してしまうタイプ、があります。外傷性の脱臼は活発な小型犬に多く発生し、ジャンプをした後や転んだあとから足を挙げてしまうということで来院されます。
診断は触診とレントゲンで行います。脱臼の方向によって、前上方脱臼と後尾側脱臼があります。治療は徒手による整復と手術による治療がありますが、徒手による治療は殆どの場合で再脱臼してしまうため外科治療が必要となることがほとんどです。
外科治療では大きく分けて2つの方法があり、一つは骨頭を術中に戻し何らかの方法で固定するというもので、もう一つは骨頭を切除することで偽関節というものを作る方法になります。戻して固定する方法の利点は、元の形に戻せるため術後の回復が早く、運動能力もほぼ元通りまで戻ることができます。欠点としては再脱臼する可能性があり、その場合には骨頭を切除が必要になることです。骨頭を切除する方法の利点は、術後の再脱臼はありえないという所と、手術時間が短いというところがあります。欠点としては、回復にやや時間がかかるのと、運動能力が元通りまで戻ることが困難で、7〜8割くらいにとどまってしまうことです。前上方脱臼では骨頭を戻して固定する方法が可能です。
今回はトグルピン法という方法でもとに戻した症例です。症例はトイプードル10ヶ月で、ジャンプしているうちに足を痛がって挙げているとのことで来院されました。レントゲンで前上方脱臼が認められ手術を行いました。
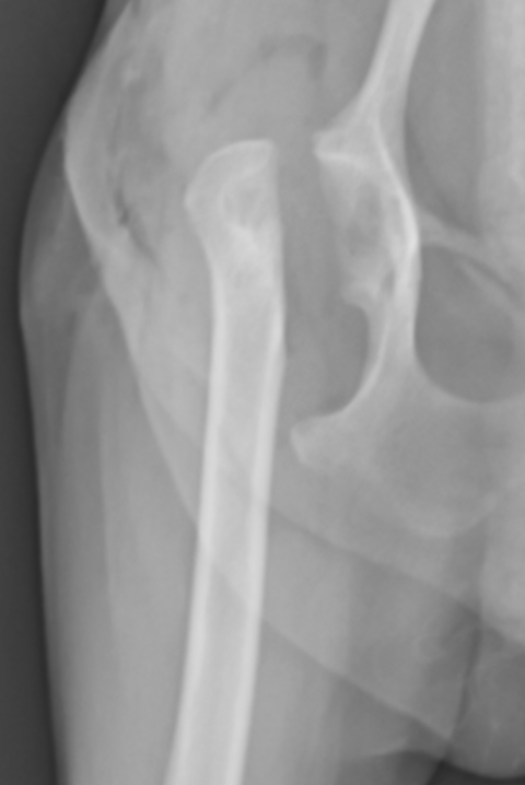
大腿骨頭と呼ばれる部分が前方に脱臼しています
大腿骨頭が上方に脱臼しています
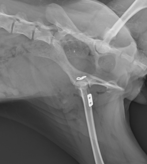
術後のレントゲンです。白く写っているのは金属です。金属と金属の間にワイヤー(レントゲンには写りません)が通っており、骨頭が抜けないように引っ張っています。
骨頭がはまっているのがわかるかと思います。
術後すぐから足をついて立ち上がることが可能でした。2週間はこのまま安静にし、2週間脱臼が起きなければひとまず大丈夫であることが多いです。

同じ症例ではありませんが、骨頭を切除した症例をご紹介します。症例は8ヶ月のトイプードルで、最近足をあげるということで来院されました。触診では足を伸ばすときに痛がり、レントゲンで骨頭の骨折が認められました。おそらく生まれつきレッグペルテスという病気があり骨頭が折れてしまったのではないかと予想されます。レッグペルテス(=大腿骨頭壊死症)とは主に小型犬種において発生する大腿骨頭の非炎症性無菌性壊死です。犬では生後数ヶ月から1年までに痛みや跛行を主訴に来院されます。原因は大腿骨に栄養が行く血管がうまく発達せず、骨頭の一部が壊死ししてしまうと考えられています。遺伝性と考えられていますが、まだはっきりとしたことはわかっていません。猫でも似たような病態があると最近言われ始めています。
治療は手術で大腿骨頭を切除する方法です。術後の回復に時間がかかる手術ではあり、リハビリが必要となるケースが多いです。最近では水中トレッドミルと呼ばれる、水の中での歩行訓練を行う場合もあります。
骨頭の一部が折れて潰れてしまっています。
骨頭を切除した後です。しっかりと小転子とよばれるところまで切除することが重要です。肩関節に似た形状になっています(骨同士が噛み合わない関節)。
術中所見です。骨頚部まできちんと露出しています。
バランスボールに立つためには四肢を使わないといけないため、筋肉を鍛えることができます。
水の浮力を利用するため、足を着きたがらない子でも負重して歩いてくれます。

執筆担当 磯野
新目白通り第2高度医療センタートップページ