小滝橋動物病院 新目白通り第2高度医療センター お電話0359585512
ここでは特徴的な症例について、一部をご紹介いたします。
※手術の写真を掲載しておりますので、苦手な方はご注意ください。
小滝橋動物病院グループ全体の外科症例件数については、>こちらをご参照ください。

指の骨の骨折(中手骨骨折、中足骨骨折)

指の骨折では人で言う手のひらの骨、つまり中手骨、中足骨の骨折がほとんどです。
猫や小型犬ではピンでの固定が一般的ですが、最近では超小型と呼ばれるプレートスクリューもあるため、2mm程の骨でもプレートスクリューを入れることが可能です。
犬猫では第3指、第4指が重要で、そこの固定をしっかり行わないと足をつくようになりません。
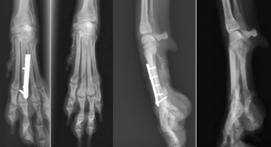
右第3指、第4指の骨折と左第3指の骨折です。それなりに髄腔が広いため太めのピンを入れています。
左第3指、第4指の骨折です。かなり小さい手のため、0.6mmという細いピンを使用しています。
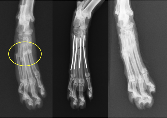
第2〜5指のすべてを骨折しています。この子も0.6mmのピンを使用しています。
第4指の骨折です。かなり細い骨ですが、1.1mmのプレートスクリューを使用しています。
骨折でお悩みの方はメールや電話などでご相談ください。 執筆担当:獣医師 磯野
小滝橋動物病院 新目白通り第2高度医療センタートップページ
東京都豊島区高田3-20-11
TEL 03-5958-5512 
Email: otakibashigroup@yahoo.co.jp