小滝橋動物病院 新目白通り第2高度医療センター お電話0359585512
ここでは特徴的な症例について、一部をご紹介いたします。
※手術の写真を掲載しておりますので、苦手な方はご注意ください。
小滝橋動物病院グループ全体の外科症例件数については、>こちらをご参照ください。

猫の前十字靭帯断裂

前十字靭帯の構造・機能と断裂

前十字靭帯は膝関節内に存在する大腿骨の尾側と脛骨の頭側を繋ぎ、前方から見ると外側から内側へと走行している靭帯です。
この構造から前十字靭帯は膝関節の過度な伸展の防止、脛骨の前方突出と過度な内旋を抑制する役割を担っていますが、膝関節を過度に伸展や内旋する外的な力が加わることで前十字靭帯断裂を引き起こします。
犬においては、体重(肥満度)や年齢による靭帯の変性、脛骨高平部角(TPA)の上昇や膝関節の角度などの構造的異常、内分泌疾患(クッシング症候群など)や免疫介在性関節炎などが前十字靭帯断裂の要因となり、靭帯が脆くなったところに転倒やジャンプした後の着地などのような衝撃が加わると断裂してしまうケースが多いのに対し、猫の前十字靭帯断裂は主に外傷による発症が多くを占め、体重過多が発症の危険性を高めるとの報告もあります。

前十字靭帯断裂の症状

靭帯の損傷程度や半月板損傷の有無によって症状は変わってきますが、疼痛をはじめ、患肢の挙上や膝関節の不安定性によって足を引きずったり挙上しながら歩いたりなどの歩行異常(破行)が認められます。
しばらくすると症状が落ち着くことがありますが、膝関節内では前十字靭帯以外に関節軟骨や半月板にも損傷が加わり、症状の悪化を引き起こしてしまいます。

断裂した靭帯は自然に治癒しないため、前十字靭帯断裂が生じた場合は外科的処置が必要になります。
膝関節の構造(引用:スモールアニマル・サージェリー 第3版p.1407)
前十字靭帯断裂による脛骨の前方突出(引用:スモールアニマル・サージェリー 第3版p.1399)

前十字靭帯断裂の症例

猫(Mix) 避妊雌 7歳齢
歩様状態の異常を主訴に来院されました。
猫ちゃんの性格上、院内での歩様確認をすることはできませんでしたが、触診を行ったところ、左膝関節の腫脹、左側の脛骨前方引き出し徴候(Cranial Drawer Sign; CDS)、および脛骨圧迫試験時における脛骨前方突出(Cranial Tibial Thrust; CrTT)が認められました。
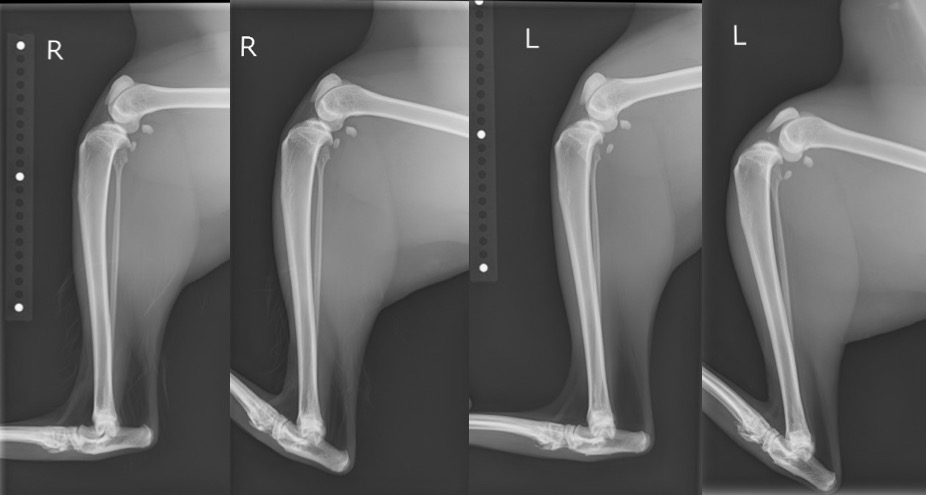
続いて単純X線画像検査を実施したところ、ラテラル像より左側の膝関節にて関節包の腫脹による膝蓋下脂肪体の圧迫(Fat Pad Sign)が認められ、足根関節の過屈曲時撮影像において明らかなCrTTが認められました。
以上の結果から左側前十字靭帯断裂と診断し、手術による外科的処置を行うことになりました。

前十字靭帯断裂における外科的処置方法は様々で、大きく関節内固定法(Over the top法大腿筋膜紐法など)や関節外固定法(ラテラルスーチャー法や腓骨頭転移術など)、機能的安定術(脛骨高平部水平化骨切り術や脛骨前進化術など)に分けられます。
今回は関節外固定法の一つ、ラテラルスーチャー法(Flo法)を実施しました。
Flo法は脛骨稜に穴を開け、糸を通した後に外側腓腹筋種子骨糸をかけて締結する方法で、この糸が前十字靭帯の代わりの役割を果たしてくれます。 
Flo法(引用:スモールアニマル・サージェリー 第3版p.1410)
単純X線検査画像(左側では足根関節過屈曲時に明らかなCrTTが認められます。)
手術直後の単純X線検査画像と比較(術後は通常のラテラル像、足根関節過屈曲時ともにCrTTの消失が認められます。)
術後と術後2週目の比較(CrTTは認められず、まだ負重は弱いが、患肢も積極的に使うようになってきました。)
前十字靭帯断裂は犬にのみではなく、猫にも発症する疾患です。 後肢を痛がったり、挙上する、付きたがらないなどの症状がありましたら、お気軽にご相談ください。
執筆担当:獣医師 初山
小滝橋動物病院 新目白通り第2高度医療センタートップページ
東京都豊島区高田3-20-11
TEL 03-5958-5512 
Email: otakibashigroup@yahoo.co.jp