小滝橋動物病院 新目白通り第2高度医療センター お電話0359585512
ここでは特徴的な症例について、一部をご紹介いたします。
※手術の写真を掲載しておりますので、苦手な方はご注意ください。
小滝橋動物病院グループ全体の外科症例件数については、>こちらをご参照ください。

環軸亜脱臼・環軸椎不安定症(歯突起低形成)

環椎軸椎不安定症とは先天的に軸椎(首の2番めの骨=第2頚椎)に不安定性がありそこを通過する神経を圧迫し、様々な神経症状を引き起こす疾患です。原因は軸椎の歯突起とよばれる部分の低形成や、靭帯の欠損、骨自体の形の異常など様々です。症状は痛みやフラつきなど軽度なものから、横臥、呼吸停止など重度な神経症状まで様々です。
治療には外科が必要で、不安定性のある環椎・軸椎を一つの骨にしてしまう、椎体固定という方法を使います。腹側からアプローチする方法と背側からアプローチする方法がありますが、腹側のほうが合併症が少なく、治療成績が良いとされています。それでも重度な合併症が10〜30%(心停止、呼吸停止、肺水腫)発生するという報告もあり、手術自体もリスクを伴います。しかし手術しないと死亡してしまうケースも非常に多いため、手術が必要となります。手術では関節をピンで固定(経関節固定)し、関節の軟骨を削り、そこに上腕骨から採取した海綿骨を移植します。さらに、椎体にスクリューを打ち込み、それを骨セメントで固定するという方法をとりました。術後2ヶ月ほどで骨が癒合してくれるため、そこまでピンやスクリュー、骨セメントによる固定を維持できれば大丈夫です。その後インプラントが折れてしまうことがありますが、癒合後であれば問題ありません。
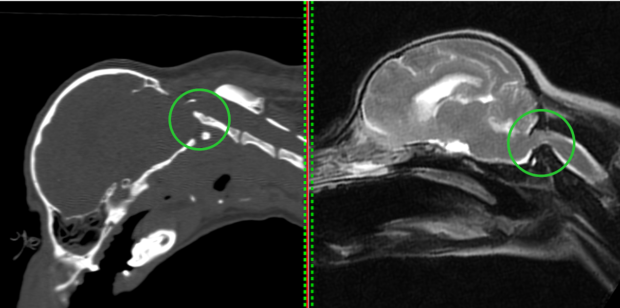
左がCT画像、右がMR画像です。2番めの頚椎である軸椎の歯突起が神経を圧迫してしまっているのがわかります。
CTを3Dにしたものです。立体的に骨の形状(歯突起が不安定になっている)がわかります。また、後頭骨の一部が欠損しています。
治療には、経関節固定(1.1mmのピン)とスクリュー(1.3mm)・骨セメント(PMMA)による固定を行っています。
術後の経過はよく、もともとふらつきの症状が改善し元気いっぱいになっています。



別の症例。どこか痛がるという主訴で来院されました。確かに触るとどこかを痛がっている状態で、MRIを撮影すると脊髄空洞症が重度に認められました。その原因の一つとして環軸椎不安定症が関連しており、手術を行いました。
手術では、環椎と軸椎を露出するために腹側アプローチ(ベントラルアプローチ)を行い、骨の癒合を促進して安定化させるために関節軟骨を切除します。次に環軸椎を貫通するようにピン(スレッドピン)を入れ関節固定を行います。Cアームを用いながら行うことで安全性が向上します。左右二本ずつ入れたら、環椎にも2本、軸椎にも2本挿入します。位置が大丈夫かどうかをCアームで確認し、先程削った軟骨の部分に上腕骨から採取した海綿骨を移植し、最後に骨セメントを入れて固定して終了となります。
左が頭で右が尾であり、左側の骨が環椎、右の骨が軸椎です。
骨セメントを入れたところです。空気と触れると硬化してセメントのようになります。
終了後のレントゲンです。



次の症例は先程の症例よりも重症で、手術時には自力での歩行が困難で、やっとおすわりができるかできないかという状態でした。また手術時の体重が2kgしかなかったので、難易度は高い手術となりました。
MRIでは重度に脊髄が圧迫されており、環軸椎の部分で脊髄が重度に狭窄しているのが分かります。
手術では骨が小さかったため、どうしても細いピンを使わざるを得ず、さらに術後にMRIを撮影する可能性を考えチタン製のものを使用しました。そのため、強度を上げるため通常よりも本数を増やし8本のピンを刺入しました。
それらのピンを切ってから海綿骨を移植して骨セメントを入れたところになります。熱が発生するため積極的に冷やしています。
術後レントゲンです。8本のピンが刺入されているのが分かります。術後からとても経過はよく、1週間後には歩行可能となり、3ヶ月経過現在元気に歩き回っています。
この症例の術後2ヶ月目の歩様です。術前には歩行困難でしたが、ここまで歩けるようになりました!



環軸椎亜脱臼でお悩みの方はメールや電話などでご相談ください。 執筆担当:獣医師 磯野
小滝橋動物病院 新目白通り第2高度医療センタートップページ
東京都豊島区高田3-20-11
TEL 03-5958-5512 
Email: otakibashigroup@yahoo.co.jp