小滝橋動物病院 新目白通り第2高度医療センター お電話0359585512
ここでは特徴的な症例について、一部をご紹介いたします。
※手術の写真を掲載しておりますので、苦手な方はご注意ください。
小滝橋動物病院グループ全体の外科症例件数については、>こちらをご参照ください。

猫のモンテジア骨折

モンテジア骨折とは「橈骨頭の脱臼を伴った尺骨近位の骨折」と定義されており、橈骨の脱臼方向に基づいてⅠ型からⅣ型に分類されます。ほとんどが猫で発生する骨折です。猫は犬と異なり橈骨と尺骨を結合する強力な骨間靭帯が欠如していて、両者は弱い膜様組織でしか結合していないため脱臼しやすいのです。治療には手術が必要で、①尺骨骨折の整復②輪状靭帯の再建という2つをメインに行います。

※途中で手術写真が出ます。苦手な方はご注意ください。
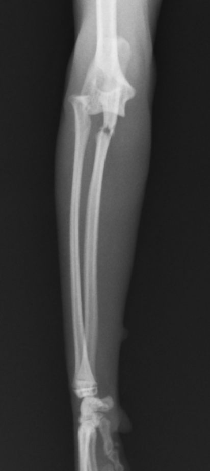
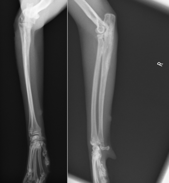
今回の症例はキャットタワーから落下して足を上げてしまうとのことで来院しました。尺骨の近位が骨折し、橈骨が外側に変位してしまっています。診断はモンテジア骨折Ⅲ型でした。全く足をつくことができないため、手術が必要と判断し行いました。
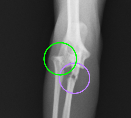
正面から撮影したX線の拡大です。紫が尺骨の骨折で、緑が、脱臼した橈骨になります。
横から撮影したX線の拡大です。左が正常の骨で、右が骨折した骨です。
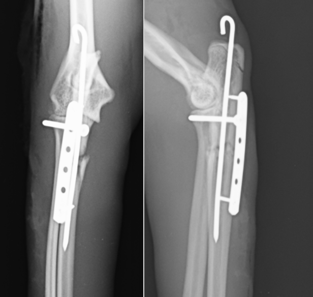
手術ではまず①尺骨の骨折を整復します。髄内ピンと呼ばれるものを打ち込み、ある程度骨折片同士を合わせたら、プレートを設置します。そうすることで骨片の回転を予防でき、腕を曲げ伸ばししたときに発生するひっぱり応力に抵抗することができます。
骨折が整復できたら、②橈骨の脱臼を整復します。輪状靭帯が切れてしまっているため、尺骨から頭骨に向けてスクリューを打ち込むことで再建が可能です。最後に海面骨移植を行い終了としました。
青丸が尺骨の骨折、緑丸が橈骨頭の脱臼です。
術後のレントゲンです。
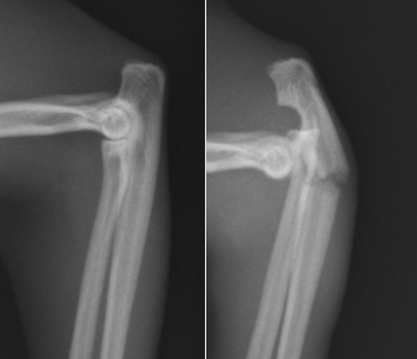
術後はすぐに足を着いてくれて骨の癒合も進んで行きました。猫は手を捻ってものを掴んだりする動作が多いため、尺骨と橈骨を固定しているスクリューは早めに抜去しなくてはなりません。その後に骨が癒合したらインプラントを全て抜去します。
全てのインプラントを抜去しました。手の向きや骨の状態も問題ありませんので、終了となります。

特殊な手術ですので、お悩みの方はメールや電話などでご相談ください。 執筆担当:獣医師 磯野
小滝橋動物病院 新目白通り第2高度医療センタートップページ
東京都豊島区高田3-20-11
TEL 03-5958-5512 
Email: otakibashigroup@yahoo.co.jp