小滝橋動物病院 新目白通り第2高度医療センター お電話0359585512
ここでは特徴的な症例について、一部をご紹介いたします。
※手術の写真を掲載しておりますので、苦手な方はご注意ください。
小滝橋動物病院グループ全体の外科症例件数については、>こちらをご参照ください。

手術用顕微鏡を用いた超小型犬の頚部椎間板ヘルニア手術

当院にはMRIが導入されており、それにより主に神経疾患の診断が可能となりました。また、手術室にCアームという手術用透視装置が導入され、整形外科を以前以上に正確かつ低リスクで行うことが可能となりました。さらに、手術用顕微鏡も導入され、神経外科などのマイクロ手術も行うことができるようになりました。
●頚部椎間板ヘルニア
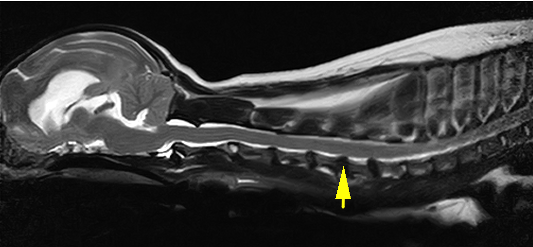
頚部椎間板ヘルニアは頚椎という首の骨をつなぐ椎間板物質が背側に飛び出してしまうことで、そこの神経を圧迫し、疼痛や麻痺を引き起こす疾患です。診断は触診や神経学的検査、レントゲン検査に加え、MRI検査が必須となります。
矢印の部分の椎間板物質が飛び出しているのがわかります。診断名は第5−6頚部椎間板ヘルニアです。
根治治療には逸脱した椎間板物質を摘出する必要があります。胸腰部の椎間板ヘルニアと異なり、頚部では腹側からのアプローチを用います(ベントラルスロット)。まず重要な組織である気管や食道、頸動脈静脈を避け、骨にアプローチします。骨の切削にはラウンドバーとよばれるドリルや、SonoCure(ソノキュア)とよばれる乳化吸引装置を用います。ソノキュアは骨だけを削り、神経や血管などの軟部組織は削れないという利点があります。
今回の症例では骨の幅が9mmであり、削る幅の最大経が3mmでした。それ以上の幅で削ると不安定性が出て合併症のリスクが高くなります。3mmの幅の内部での操作となるため、肉眼での操作は困難であり、顕微鏡操作が有用となります。以下は顕微鏡下での術野の視野になります。
骨をソノキュアによって少しずつ掘っていきます。
穴が深くなっています。
内部の白いものが椎間板物質になります。
椎間板物質を鉗子で摘出しているところです。
椎間板物質が摘出され、一番奥に神経が見えています。
椎間板物質をすべて摘出すると神経が見えてきます。押されている様子などがなければ終了として閉創して終了となります。
術後のフォローアップMRIです。術前のMRIで突出していた椎間板物質は取り除かれ、スムースになっているのがわかります。
術後の経過は順調で、首の痛みもなくなり生活できるようになりました。

執筆担当:獣医師 磯野
小滝橋動物病院 新目白通り第2高度医療センタートップページ
東京都豊島区高田3-20-11
TEL 03-5958-5512