ここでは特徴的な症例について、一部をご紹介いたします。
※手術の写真を掲載しておりますので、苦手な方はご注意ください。
小滝橋動物病院グループ全体の外科症例件数については、>こちらをご参照ください。
犬の前十字靭帯断裂の治療法であるTPLO(Tibial Plateau Leveling Osteotomy・脛骨高平部水平化骨切り術)について
前十字靭帯とは後肢膝関節の内部にある太い靭帯で、歩行や起立する際に最も重要な役割を担っています。起立・歩行する際にスネの骨である脛骨が、前方に移動しないように抑えたり、脛骨が内側に捻じれないように制御していたりと、その機能は様々です。犬は人と異なり常に後肢を曲げた状態で起立しており、膝の骨格的に人よりも負荷がかかりやすい状態です。特に脛骨のTPA(脛骨高平部角)と呼ばれる角度が高いほど前十字靭帯に負荷がかかりやすくなっています。また、人と異なり犬では、加齢とともに前十字靭帯が変性し、少しずつ切れていくことで断裂すると言われており、通常通り歩いているだけでも、突然前十字靭帯が切れてしまうことがあります。そのため、犬の前十字靭帯断裂は若齢では比較的少なく、中高齢で多くなる疾患です。
前十字靭帯が断裂すると、脛骨が前方に出てしまったり(CrTTといいます)、内側に捻じれてしまうことで、体重の負荷がかけられず、痛みがでたり、挙上や跛行といった症状が出ます。同時に半月板という軟骨を損傷することもあります。
断裂した前十字靭帯は自然に戻るということはなく、手術による外科治療が必要になるケースがほとんどです。手術では、人では靭帯自体を再建しますが、犬では再建は困難であり、以前から人工靭帯により固定する方法(ラテラルスーチャー・Flo法)が行われてきました。しかし、人工靭帯による治療では回復までに時間がかかり、その回復率も80%程度にとどまってしまいました。しかし、Dr. Slocumという先生が開発し実施されているTPLO(脛骨高平部水平化骨切り術)という方法ですと回復までの期間が短く、さらに最終的な回復率も100%に近くなります。そのため、近年では人工靭帯による方法よりも、TPLOを実施する機会が多くなってきています。


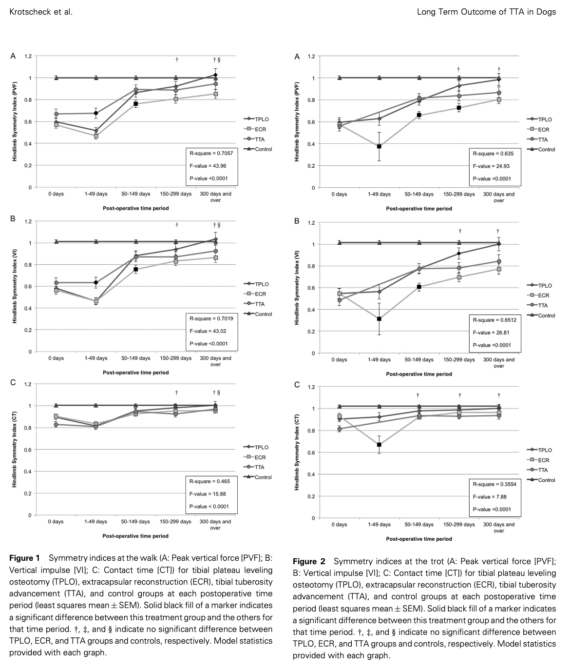
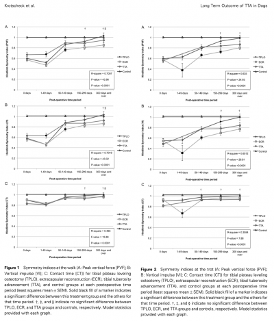
Vet Surg. 2016 Feb;45(2):261-8. Ursula Krotscheck et al. 有名な文献を載せておきます。水平方向が時間、垂直方向が荷重割合となっており、ダイヤ型がTPLO、四角が人工靭帯(ECR)、丸が脛骨粗面前進化術(TTA)、三角がコントロール(何もしていない)となっています。ECRやTTAに比べて、TPLOでは早期に機能が改善し、300日における機能回復は有意に優れています。TPLOは機能的安定化術と呼ばれており、靭帯自体を再建するのではなく、靭帯がなくても脛骨がずれない形に変化させてしまうというものです。具体的には脛骨を円形に骨切し回転させることで、TPA(脛骨公平部角)を6.5度を目標に矯正する方法です。TPAがマイナスに近づくと今度は後十字靭帯に負荷がかかるため、6.5度という目標値になっています。
右が通常の膝のレントゲンです。緑矢印の部分(脛骨高平部と大腿骨遠位外顆内顆)が一致しているのがわかると思います。左が前十字靭帯断裂の膝のレントゲンです。矢印の部分がずれているのがわかります。脛骨が前方変位しています(CrTTといいます)。
黄色部分がTPAと呼ばれる角度で32度程度あることがわかります。円が描いてあるのはそこで骨を切る計画を示しており、そのほかの長さはその縁の位置を決めるための指標となっています。
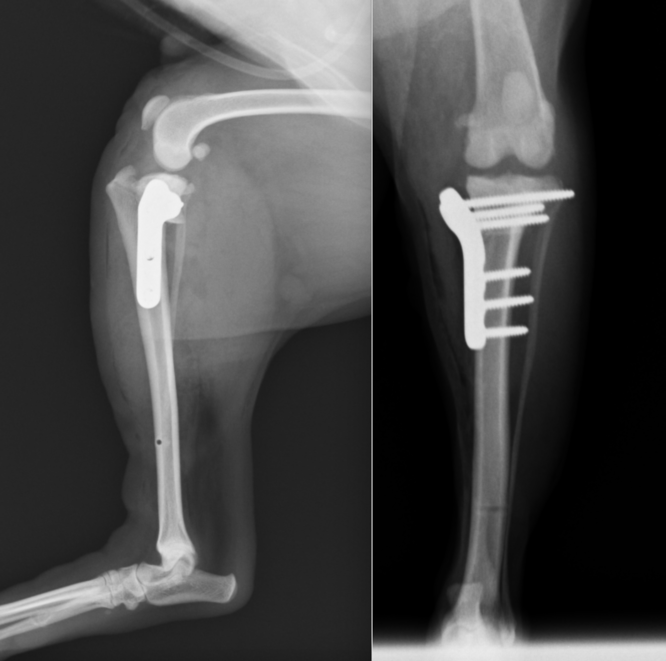
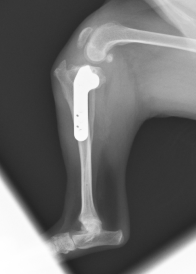
TPLOの術後のレントゲンです。約7度になっており、計画通りに手術が行えています。脛骨のずれ(CrTT)も消失しているのがわかると思います。 このように、円形に切ることで、膝の回転中心をずらすことなく骨を矯正できるため、骨短長がほとんどなく(長さが変わりません)、荷重のズレを少なくすることができます。
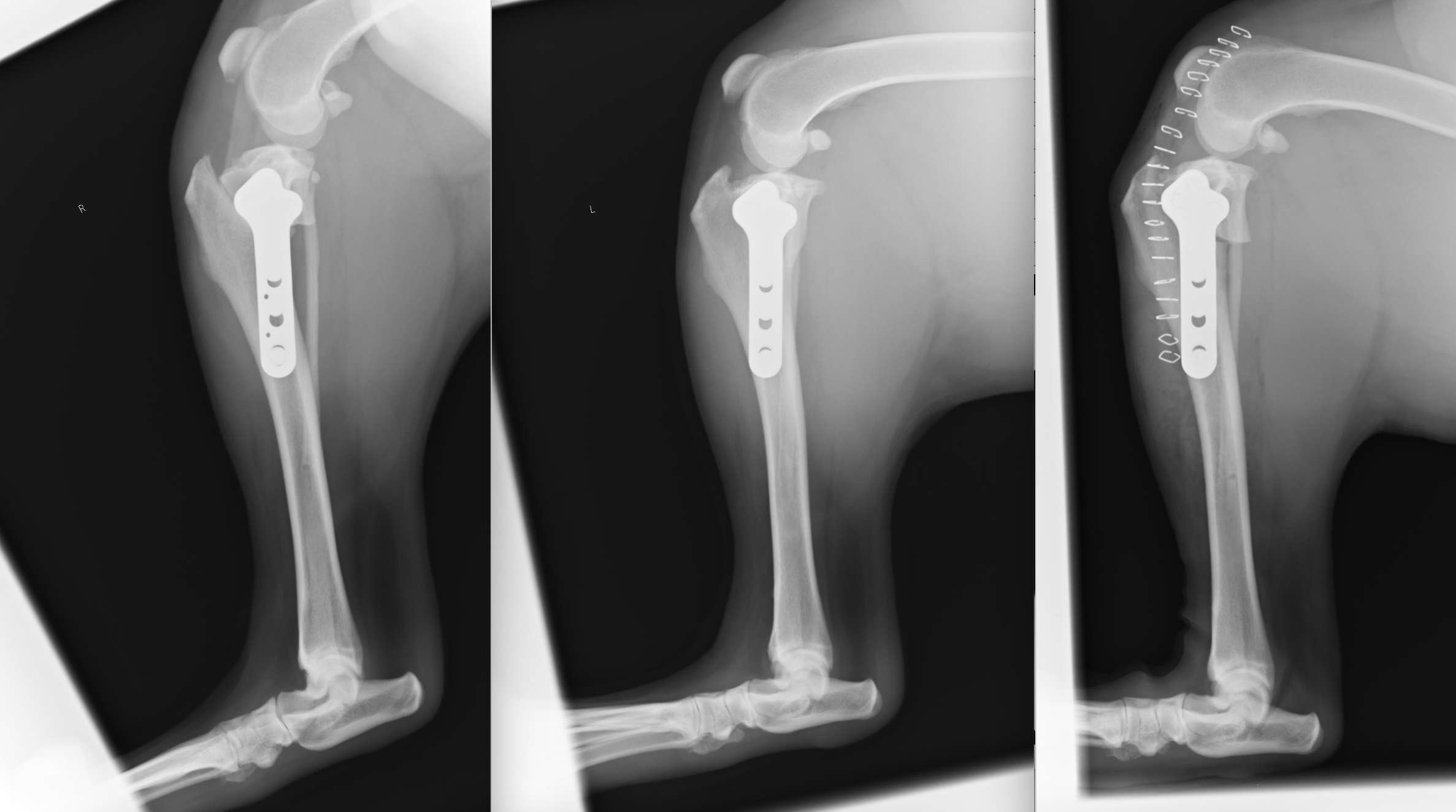
30kgの黒ラブの症例です。一番右のレントゲンが最初に行った手術です。半年後には反対側も切ってしまい、同様に手術しています(一番左)。真ん中は右の術後半年のレントゲンです。骨切部分がくっついているのがわかると思います。このように左右ともに切れてしまうケースも多いです。
フレンチブルドッグの症例です。TPAが高く回転距離が長くなっています。TPAが高い症例はTPLOの合併症が起きやすたいめ、その手術計画は注意して行う必要があります。
近年では小型犬の前十字靭帯断裂も増えてきています。背景には膝蓋骨内方脱臼によるものが関与していると考えられます。このレントゲンも4kgほどのトイプードルです。
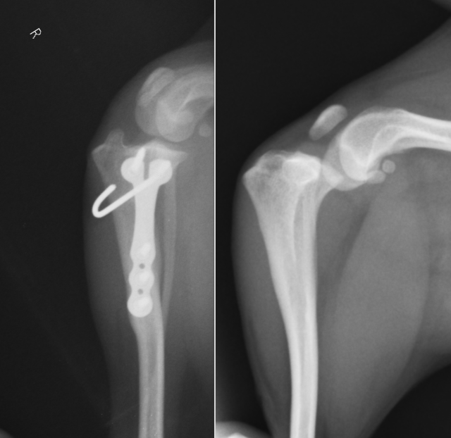
カーブプレートというプレートを用いています。前方の圧迫もかけられる新しいタイプのプレートです。
こちらもカーブプレートです。
2kg代の子にはFixinというプレートを用いることもあります。
この手術は術前計画がとても重要となります。そのため、計画の際のレントゲンもきちんと撮影する必要があります。近年では膝蓋骨内方脱臼とともにTPLO手術を実施することも多いです。前十字靭帯断裂やTPLOでお悩みの方は電話またはネットで予約していただければと思います。
ネット予約はこちら
執筆担当:獣医師
磯野
小滝橋動物病院 新目白通り第2高度医療センタートップページ東京都豊島区高田3-20-11
TEL 03-5958-5512
Email: otakibashigroup@yahoo.co.jp