小滝橋動物病院 新目白通り第2高度医療センター お電話0359585512
ここでは特徴的な症例について、一部をご紹介いたします。
※手術の写真を掲載しておりますので、苦手な方はご注意ください。
小滝橋動物病院グループ全体の外科症例件数については、>こちらをご参照ください。

骨盤骨折

骨盤骨折では大事な血管や神経を損傷することがあり、緊急疾患に含まれます。四角形の箱のような形状をしているため、骨折が数カ所ある場合も少なくありません。
骨折部位や年齢によって固定方法を変えていく必要があります。骨盤臼(大腿骨が収まる部分)から仙骨(背骨につながる所)にかけての骨折は固定が必要で、特に骨盤臼の骨折では大腿骨頭と呼ばれる所に障害が出て切除しなければならない場合もあります。
若いノルウェージャンフォレストキャットです。成長阻害することがあるため、プレートとピンは1ヶ月程で抜去しました。術後の経過は順調で、骨折したのがわからないくらい回復しています。
ポメラニアンの骨盤骨折です。両側であり、手術時間の短縮と固定力の強化のためにロッキングプレート・スクリュー(プレートとスクリューが固定されるシステム)を使用しました。プレート抜去はしなくても良いタイプです。
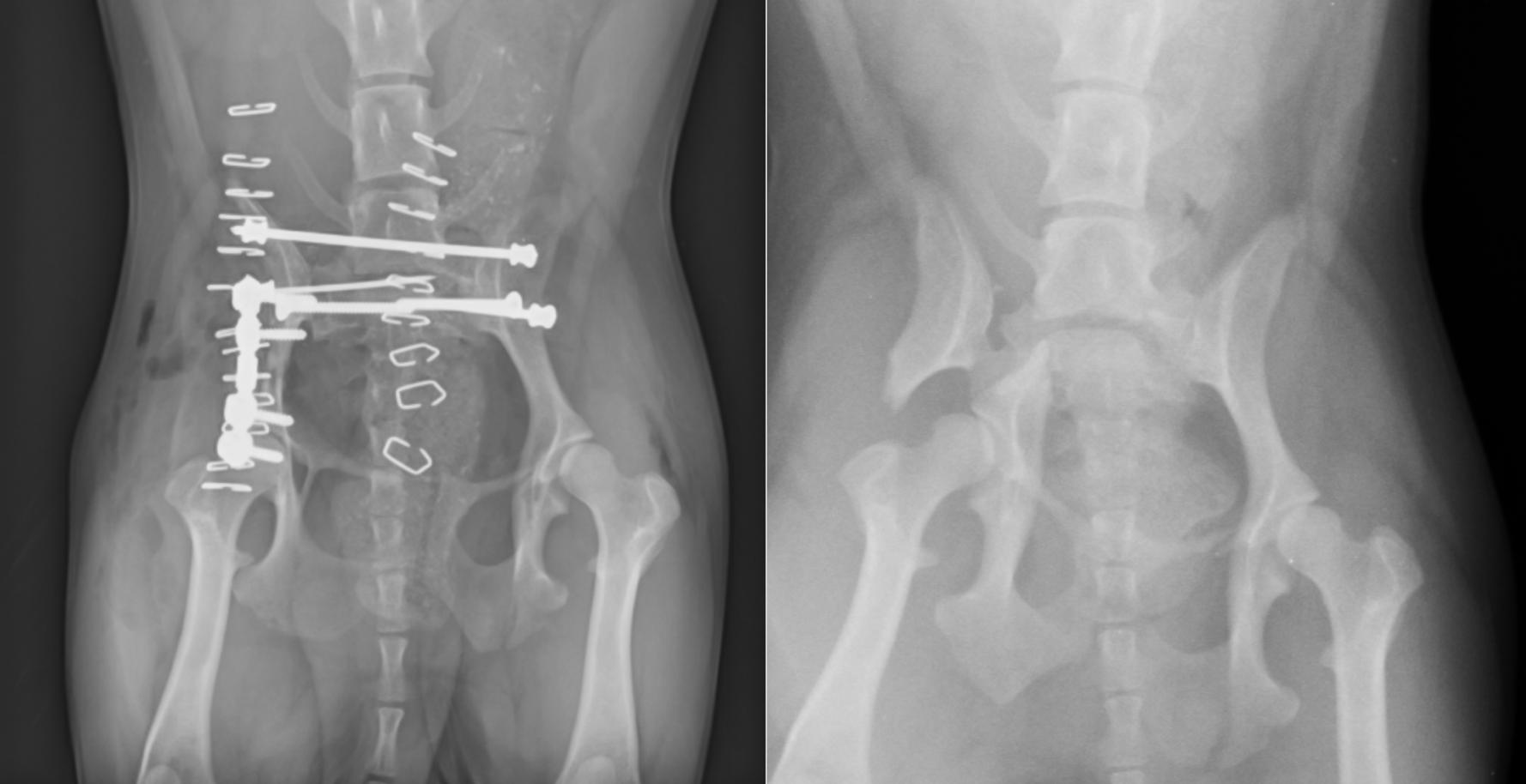
M・ダックスフンドです。痛みが強かったのですが、術後は骨折前と同じように活動できています。
数カ所折れていますが、重要なのは仙腸関節(上の◯)の脱臼と、股関節脱臼です。
仙腸関節はラグスクリュー法と呼ばれるスクリューによる固定を行い、股関節は大腿骨頭切除術と呼ばれる方法を行っています。
チワワの症例です。左右の仙腸関節が脱臼(正確には左は仙骨骨折)しています。緑は左の仙骨骨折、赤は右の仙腸関節脱臼、黄色は右の腸骨骨折をさしています。
仙腸関節脱臼と、仙骨骨折はボルトとアンチローテーションピンで止めてあるのと、腸骨翼にロングボルトというものを入れて狭窄を予防しています。また、右の腸骨の骨折にはパールプレートと呼ばれるプレートを入れて固定しています。
骨折でお悩みの方はメールや電話などでご相談ください。 執筆担当:獣医師 磯野
小滝橋動物病院 新目白通り第2高度医療センタートップページ
東京都豊島区高田3-20-11
TEL 03-5958-5512 
Email: otakibashigroup@yahoo.co.jp