小滝橋動物病院 新目白通り第2高度医療センター お電話0359585512
ここでは特徴的な症例について、一部をご紹介いたします。
※手術の写真を掲載しておりますので、苦手な方はご注意ください。
小滝橋動物病院グループ全体の外科症例件数については、>こちらをご参照ください。

脳血管障害(脳梗塞、脳出血)

 脳血管障害(脳卒中とも言われます)には、脳梗塞と脳出血が含まれます。
 脳梗塞は脳に分布する血管に血の塊(血栓)などが詰まってしまうことで、その血管が分布する脳に虚血性の脳神経細胞障害を起こす病気です。
 脳出血は、頭蓋内に存在する血管が破れてしまうことで起こります。原因は不明であることが多いものの、血液凝固系の異常を起こす何かしらの原因疾患(例えば心臓病、血液凝固障害、ホルモン分泌異常、腫瘍など)を背景に二次性に発症したり、脳腫瘍や頭部外傷により脳出血が起こることもあります。
 起こす症状はいずれも障害部位によって様々ですが、突然の発作・旋回・頭部の捻れ(斜頸)・失明・意識低下〜消失などがあります。症状は、典型的には急性に発症し、2日間程度維持〜悪化したのちに徐々に回復してくることが多いです。
 MRI検査が小動物医療に普及するまではこの病気は犬猫にはほとんどないとされていましたが、近年はその診断数が世界的に多くなっています。しかし、そのような中にありながら犬猫の脳血管障害が人医療のように正確に早期診断される機会は非常に少なく、一般的には臨床経過や死後剖検から診断されることが多く、治療も後手に回る傾向にあります。
 当グループではMRIおよびCT検査が利用可能であり、急性期の脳血管障害の発見・診断が可能です。
 様々な理由(人に比べて体格が小さい、6時間以内に診断治療されることが極端に少ないことなど)により、血栓溶解剤の適応やカテーテル治療などの積極的な治療法は獣医療においては確立されていませんが、点滴などによる局所循環の改善を試みます。また、脳血管障害を起こしうる原因疾患が見つかれば、予防的な治療を開始することも可能です。
 以下に脳血管障害のMRIをご紹介します。
右中大脳動脈における脳梗塞を疑った8歳の日本猫、症状は急性の左半身麻痺・意識レベル低下
小脳梗塞を疑った11歳のトイ・プードル、症状は左前後肢が突っ張る事による起立困難
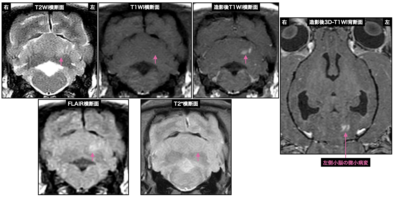
過去に起こしたと思われる多発性脳出血の所見が偶発的に認められた14歳のチワワ、これに関連した症状はなかった
執筆担当:獣医師 大竹
小滝橋動物病院 新目白通り第2高度医療センター
東京都豊島区高田3-20-11
TEL 03-5958-5512 
Email: otakibashigroup@yahoo.co.jp